关于物理治疗和肌肉骨骼条乐动体育汇件的文章

越来越好不仅仅是你的物理治疗师,教练或培训师的责任。它也是你的,你的护理人和亲人'。这是一种协作努力,要求每个人都积极的理解和参与。

本门户致力于为在线用户提供最新的物理治疗条件和治疗的明确信息。乐动体育汇

2011年12月20日,上午8:25

你知道上肢肌肉骨骼疾病(例如颈部和肩部疼痛)已经被认为是与工作有关的几百年了吗?贝尔纳迪尼·拉马兹尼,一位意大利医生和职业医学之父,在18世纪这样描述它:“…产生的原因有三个;首先是持续的坐着,无休止的运动[…]

2011年12月15日,下午7:56

“我的肩膀有点痛,想知道普通的受伤和运动受伤有什么区别?”我是去看普通物理治疗师还是运动物理治疗师?你好,Joel,物理治疗师使用的术语有时会令人困惑。外周是指物理治疗中的身体部位。乐动体育汇例外是主体[…]

2011年11月29日上午8:16

最近一项为期12个月的研究对全身振动疗法(WBV)减缓骨质疏松症进展的益处提出了质疑。该研究发表在本月的《医学年鉴》(Annals of medicine)上,结果显示,与非全身振动疗法相比,该疗法对骨骼变化没有影响;这使得研究人员得出结论,对WBV治疗12个月并没有……

2011年11月26日上午11:08

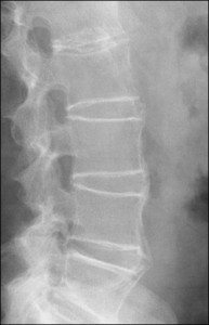
强直性脊柱炎(AS)是一种渐进的慢性炎症疾病,导致脊柱的总刚度和损失。作为一种影响脊柱的全身性,风湿性,渐进的慢性炎症疾病,比雌性更常见的男性(3:1)。确切的原因是遗骸未知但遗传和环境因素是[...]

骨盆倾斜
2011年11月24日下午12:18

妊娠期间出现的大多数肌肉骨骼问题可以通过物理治疗预防和治疗。乐动体育汇已经发现个性化的物理治疗计划比怀孕背痛减少疼痛和病假的群体会话更有效。妊娠与妊娠问题:物理疗法和练习最常见的怀孕相关问题,这些乐动体育汇问题受益于......]

2011年11月11日11:05

在许多学校和休闲运动中,在人造草皮上玩是一种日益增长的现象。虽然在这样的场地上打球有好处,但也有一些重要的考虑因素应该被考虑。什么是人造草皮?它是由合成纤维制成的表面,看起来像天然草。粒状[…]

2011年11月09日,下午3:50

“这是一个男孩!或“是个女孩!”你们中的许多人都熟悉这样的画面:当妇科医生兴奋地向期待的父母骄傲地宣布胎儿的性别时,胎儿从小监视器里探出来。这是我们所熟悉的超声波的典型应用,扫描[…]

2011年11月05日,下午3:24

脊柱侧弯是一个更常见的问题在年轻女性。一个很简单的方法就是通过亚当前屈测试来判断孩子是否患有。孩子身体前倾,臀部弯曲90度,双手放在两腿之间。考官从后面,可以[…]

2011年11月3日,下午3:31

翼状肩胛骨(肩胛骨)是指肩胛骨通过一定的手臂运动脱离胸腔。这表明前锯肌,下斜方肌和菱形肌无力。翼型肩胛骨在有撞击、胸痛等肩部主诉的患者中很常见;因此,治疗方案应该[…]

肩膀疼痛的男人
2011年11月1日,早上5:46

在上一篇文章中,我们强调了导致不必要的背部手术的磁共振成像(MRI)扫描的问题(更多MRI扫描仪做得更好或伤害?)。现在这个问题似乎蔓延到体育竞技场。一位体育医学骨科医生,詹姆斯安德鲁斯博士,想测试他的怀疑;那个MRI扫描了[...]